K-뷰티가 유행을 넘어 글로벌 스킨케어의 기준
크림 한 통이 국경을 넘는 데는 이유가 있다. 결론부터 말하자면, 마케팅이 아니라 과학이 먼저이기 때문이다. 2025년 한국 화장품 수출액이 114억 달러를 기록하며 사상 최대치를 경신했을 때, 많은 분석가들이 K-팝과 K-드라마를 동력으로 지목했다. 사실, 틀린 말은 아니다.
하지만, 중요한 점이 있다. 문화적 호감이 반복 구매로 이어지려면, 제품이 실제로 작동해야 한다는 점이다. K-뷰티가 유행을 넘어 글로벌 스킨케어의 기준이 된 데에는 피부과학에 대한 깊은 이해가 자리하고 있다. 그리고 그 핵심에는 한 가지 질문이 있다. "피부는 왜 무너지는가?"
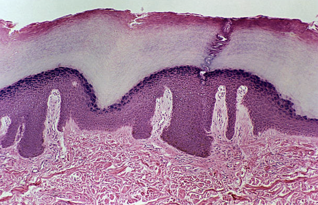
피부 장벽, 벽돌과 시멘트로 이루어진 방어선
인간의 피부 최외각층은 각질층(stratum corneum)이라 불린다. 두께는 불과 10~20마이크로미터에 불과하지만, 이 얇은 층이 수행하는 역할은 놀랍도록 정교하다. 각질층은 흔히 '벽돌과 시멘트(brick and mortar)' 구조로 설명된다. 벽돌에 해당하는 것은 각질세포(corneocyte)이고, 세포와 세포 사이를 채우는 시멘트는 지질(lipid)이다. 이 지질의 약 50%를 차지하는 것이 세라마이드(ceramide)이다. 나머지는 콜레스테롤과 자유지방산이 각각 약 25%씩 구성한다.
세라마이드는 스핑고지질(sphingolipid)의 일종으로, 피부 지질 함량 대부분을 차지하는 핵심 구성 요소이다. 2025년 Experimental Dermatology에 발표된 리뷰 연구는 세라마이드의 역할을 세 가지로 정리했는데, 첫째, 경피 수분 손실(transepidermal water loss)을 차단해 피부 안에 수분을 묶어두는 방수층을 형성한다. 둘째, 알레르겐, 미생물, 오염 물질 등 외부 침입자를 막는 물리적 장벽을 유지한다. 셋째, 세포 신호 전달에 관여해 세포 분화, 증식, 사멸(apoptosis)을 조절하는 메신저 역할을 한다.
문제는 이 세라마이드가 나이가 들수록 줄어든다는 것이다. International Journal of Cosmetic Science에 발표된 연구에 따르면 40세 이후 피부의 세라마이드 함량은 젊은 피부에 비해 약 60% 감소할 수 있다고 한다. 이 감소는 피부 건조, 홍조, 민감성 증가, 외부 자극에 대한 취약성으로 이어진다. 아토피 피부염, 건선, 지루성 피부염처럼 피부 장벽 손상이 핵심 병인인 염증성 피부 질환에서도 세라마이드 결핍이 공통적으로 관찰된다.
전통적인 서구 화장품은 이 문제를 광물성 오일이나 식물성 오일로 피부 표면을 막는 방식, 즉 '바깥에서 안으로' 접근해 왔다. 이 방식은 경피 수분 손실을 일시적으로 줄이지만, 각질층의 실제 지질 결핍을 해결하지 못한다.
하지만, K-뷰티가 선택한 방향은 달랐다. 피부 본래의 지질 구성을 모방한 생리적 지질(physiological lipid), 즉 세라마이드·콜레스테롤·지방산의 조합을 직접 공급해 '안에서 밖으로' 장벽을 재건하는 것이었다. Journal of Cosmetic Dermatology 2024년 리뷰는 이 접근이 단순 밀폐형 보습제보다 피부 내 지질 생성을 자극하는 데 더 효과적임을 확인했다.
나이아신아마이드, 단일 성분이 여섯 가지 경로를 건드린다
세라마이드가 장벽의 구조를 담당한다면, 나이아신아마이드(niacinamide)는 그 구조를 만들고 유지하는 세포 기능을 조율한다. 비타민 B3의 수용성 형태인 나이아신아마이드는 NAD+ 합성에 관여하는 조효소로서, 피부 세포의 에너지 대사와 DNA 복구에 필수적인 역할을 한다.
2024년 Antioxidants에 발표된 나이아신아마이드의 다기능성에 관한 체계적 리뷰는 이 성분이 피부에 작용하는 경로를 상세히 분석했다. 첫째, 나이아신아마이드는 스핑고지질 합성의 핵심 효소인 세린 팔미토일 전이효소(serine palmitoyl transferase)의 mRNA 발현을 활성화해 세라마이드 합성을 직접 촉진한다. 즉, 피부 세포가 스스로 세라마이드를 더 많이 만들도록 유도한다. 둘째, 멜라닌 소체(melanosome)의 전달을 억제해 색소침착을 줄이고 피부톤을 균일하게 만든다. 셋째, 비만 세포(mast cell)의 탈과립을 억제해 염증 반응을 조절한다. 넷째, UV 손상으로 인한 DNA 복구를 촉진하고 각질세포의 노화를 지연시킨다. 다섯째, 진피 내 콜라겐과 엘라스틴 생성을 자극해 피부 탄력을 지원한다. 여섯째, 각질형성세포(keratinocyte)와 섬유아세포(fibroblast) 모두에서 세포 노화 억제 효과를 보인다.
2025년 Scientific Reports에 발표된 연구는 나이아신아마이드가 각질층의 수분 흡수 능력을 높이고, 건조한 환경에서 케라틴 단량체 간격을 넓혀 각질층의 유연성을 증가시킨다는 것을 소각도·광각 X선 회절법으로 확인했다. 성분 하나가 장벽 구조, 수분 유지, 색소 억제, 항염, 항노화를 동시에 다루는 것인데, K-뷰티가 이 성분을 2~5% 농도 범위에서 광범위하게 활용하게 된 것은 이 다중 작용 기전 때문이었다. 전 세계 소비자들이 성분표를 읽기 시작하면서, 나이아신아마이드는 가장 빠르게 인지도를 높인 화장품 성분 중 하나가 되고 있다.
클리닉에서 세럼 병으로 — PDRN과 엑소좀이 바꾼 경계
2026년 K-뷰티 성분 트렌드의 최전선에는 과거 병원 시술실에서만 쓰이던 물질들이 있다. 폴리데옥시리보뉴클레오타이드(PDRN)와 엑소좀(exosome)이다. 이 두 성분의 등장은 화장품과 의약품의 경계가 어디까지 허물어질 수 있는지를 보여주고 있는데, PDRN은 연어 정자에서 추출한 DNA 단편으로, 인간 DNA와 약 95%의 구조적 유사성을 공유하기 때문에 피부 세포가 이를 이질 물질로 인식하지 않고 활용한다. 본래 PDRN은 상처 치유와 조직 재생을 위한 주사제로 한국 피부과 임상에서 수십 년간 사용돼 왔다. 심각한 화상이나 허혈성 조직처럼 자체 회복 능력을 잃은 세포에 '구제 경로(salvage pathway)'를 제공해 재생을 유도하는 방식이었다. 이 임상 데이터가 쌓이면서 피부과 의사들은 여기에서 항노화 가능성을 포착했다. 콜라겐 합성 촉진, 주름 감소, 염증 억제, 흉터 조직 리모델링 효과가 임상 연구들에서 확인되고 있다.
한국 화장품 산업의 강점은 이 임상 성분을 일상 제품으로 전환하는 속도에 있었다. 한국 뷰티 기업들은 매출의 5~8%를 연구개발에 투자하는 것으로 알려져 있으며, 의료 기관에서 검증된 성분이 소비자 제품에 도달하는 파이프라인이 다른 어떤 나라보다 짧다고 업계 전문가들은 지적한다. 그리고 PDRN이 병원 주사제에서 세럼 병 안으로 들어오는 데 걸린 시간이 그 증거라고 할 수 있다.
엑소좀은 또 다른 차원의 혁신으로 평가받고 있는데, 세포들이 서로 소통하기 위해 자연적으로 방출하는 나노 크기의 소포(vesicle)로, 성장인자, 펩타이드, 유전 물질을 담아 세포 간 정보를 전달한다. 피부 세포에 "콜라겐을 만들어라", "염증을 줄여라", "재생을 시작하라"는 신호를 직접 전달하는 일종의 세포 간 메신저인데, 특히, 엑소좀의 크기는 기공(pore)의 수백 분의 1 수준이어서, 기존 성분들이 넘지 못하던 피부 장벽을 통과해 진피층까지 도달할 수 있다. 2025년부터 한국 더마 브랜드들에서 엑소좀 제품 출시가 급격히 늘었고, 세럼·앰플·마스크 형태로 시장이 빠르게 확장됐다. 다만, 아직 장기적 효과와 안전성에 대한 임상 데이터가 충분히 축적되지 않은 단계로, 검증된 제품을 선별하는 소비자 주의가 필요하다.
성분을 읽는 소비자가 산업을 바꿨다
K-뷰티가 세계 시장에서 기존 화장품 강국과 다른 방식으로 성장한 데에는 소비자 구조의 변화도 매우 결정적이었다. 전통적 화장품 산업에서 소비자는 브랜드 이미지와 광고에 의존해 구매했다. 그리고 성분표는 읽히지 않았다. 하지만, 소셜미디어와 피부과학 정보의 대중화가 이 구조를 바꿨다.
한국 내수 시장은 이 변화의 선도 실험장이었다고 평가받고 있다. 한국 소비자들은 나이아신아마이드 농도가 몇 퍼센트인지, 세라마이드가 어떤 종류인지, PDRN 함량이 의미 있는 수준인지를 직접 검색하고 비교하기 시작했다. 이 소비자들을 만족시키려면 제품이 실제로 작동해야 했다. 효과가 없는 제품은 후기로 걸러졌다. 한국무역협회 조사에서 외국인의 61.6%가 SNS를 통해 K-뷰티를 처음 접했다고 답했는데, 그 SNS 콘텐츠의 핵심은 성분 분석과 사용 결과였다. 정보 비대칭이 해소되면서, 브랜드 명성 대신 성분 과학이 구매 결정의 기준이 됐다.
이 소비자 구조가 산업에 미친 영향으로 한국의 화장품 제조 생태계를 들 수 있는데, 이는 ODM(Original Design Manufacturing) 구조를 중심으로 발달하고 있다. 대형 ODM 기업들은 원료 연구부터 제형 개발, 임상 시험까지 일괄 수행하는 인프라를 갖추고 있다. 소규모 인디 브랜드도 이 인프라에 접근해 낮은 초기 비용으로 고품질 제품을 시장에 내놓을 수 있는 구조였다. 결과적으로 한국에서는 대기업뿐 아니라 작은 브랜드들도 피부과학 기반의 제품을 경쟁적으로 출시할 수 있었고, 이 경쟁이 전체 산업의 과학적 수준을 끌어올리고 있다.
2026년 현재 K-뷰티의 다음 성분 경계는 세포 수준을 넘어 분자 수준으로 이동하고 있다. 세포 에너지 대사를 지원하는 NAD+ 전구체(NMN, 니코틴아마이드 모노뉴클레오타이드), 마이크로바이옴과 피부 면역의 관계를 겨냥한 포스트바이오틱스, 식물 유래 레티놀 대체재인 바쿠치올 등이 차세대 성분으로 부상 중이다. 이 성분들의 공통점은 피부를 덮거나 속이는 것이 아니라, 피부 세포가 스스로 기능하도록 신호를 보내는 방향이라는 것이다. 한국 화장품이 처음부터 지향해 온 방향, 즉 '덮지 말고 개선하라'는 철학이 분자생물학과 만나는 지점이다.
물론, 피부과학은 아직 모든 해답을 다 갖고 있지는 않다. 하지만, 엑소좀과 PDRN의 장기적 효과에 대한 대규모 임상 데이터는 계속 축적되는 중이며, 화장품과 의약품의 경계에서, K-뷰티는 과학을 성분표 위에 올려놓고 있는 점은 분명하다. 그리고 세계 소비자들은 그 성분표를 읽기 시작했다.
- 김민재 리포터
- minjae.gaspar.kim@gmail.com
- 저작권자 2026-04-27 ⓒ ScienceTimes
관련기사

뉴스레터



