지구상의 인류를 종말시키려고 나타난 벌레 모양의 외계 군단과 전쟁을 벌인다는 내용의 공상과학 영화인 ‘스타쉽 트루퍼스’를 보면 미래의 재생의료 기술이 어느 수준까지 올라갈 수 있는지를 가늠해 볼 수 있다.
외계인들과의 전쟁 중에 다리가 잘려나가고 몸에 구멍이 난 병사도 ‘상처재생 치료기’ 안에서 몇 일만 지내면 상처가 다 낫고 몸이 완벽하게 재생되는 것을 볼 수 있는데 이른바 피부 재생의 메카니즘이 가속화 된 경우라 할 수 있다.
이와 관련된 '펩타이드(peptide)' 기술이 발전한다면 영화에서 처럼 조기에 상처가 치료되고 재생되는 모습을 볼 수 있는 날이 멀지 않은 것 같다.
피부재생을 가속화 시키는 펩타이드
'사이언스데일리'의 보도에 따르면 미 ‘터프츠(Tufts)’ 대학의 연구팀이 최근 ‘UN3’와 ‘Comb1’이라는 펩타이드를 생체에 함께 사용했을 때의 효과를 검증한 결과를 발표했다.
연구 결과 펩타이드를 생체와 함께 사용하지 않은 경우와 비교해 상처 부위 혈관의 성장이 조기에 활성화되고 조직의 재생도 빠르게 촉진되는 것으로 나타났다.
펩타이드는 단백질보다는 크기가 작은 아미노산 사슬로 이루어진 물질로서, 생체 내에서 신호전달을 담당하는 생체 구성 성분의 한 종류다. 생리활성 펩타이드는 피부 염증반응을 억제하고 피부세포의 재생을 촉진하여 손상을 막아주는 기능을 가지고 있어, 피부 탄력을 증진시켜 건강한 피부를 유지해 준다.
펩타이드가 각광받고 있는 이유는 막대한 치료비와 연관성이 있다. 보통, 칼로 베이거나 화상 등의 피부 손상이 발생하여 부상을 입게 되면 항생제를 발라주고 거즈를 감아서 환부를 보호해 준다. 그러나 거즈는 상처를 덮어주기만 할 뿐 손상된 세포를 회복시키는 기능은 가지고 있지 않기 때문에 치료가 더딜 수 밖에 없다.
매년, 미국인들 가운데 백만 명 정도가 외부의 영향으로 인한 상처나 몸속에서 발생하는 궤양등의 질병을 가지고 있는데, 이러한 발병으로 들어가는 치료비가 75,000만 달러 정도에 달하는 것으로 추정되고 있기 때문에 상처 부위의 치료와 재생을 가속화시키는 제품의 개발이 전세계의 여러 회사에서 진행되고 있다.
펩타이드의 공동 사용시 효과 높아
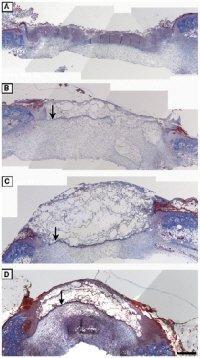
터프츠대 연구팀은 2년전부터 몇 종의 펩타이드를 동정하였는데, 동정 과정에서 이들 펩타이들이 혈관 재생을 촉진하는 효과를 가지고 있음을 확인했다. 당시 연구팀은 상처 치유에 가장 효과적인 펩타이드를 분리한 후에 ‘comb1’이라는 새로운 펩타이드를 합성하였는데 ‘Comb1’은 생체시험에서 혈관성장을 200%나 늘리는 등 혈관재생 촉진에 뛰어난 효과가 확인됐다.
2번째 상처 치유 펩타이드 후보인 ‘UN3’는 정상적으로는 혈소판이 풍부한 혈액 중에 미량 존재하는 2종의 펩타이드(UN1과 UN2)를 기본 골격으로 하여 개발하였다고 한다. UN3는 시험관 시험에서 내피세포 증식을 50%나 늘렸으며, 혈관신생도 250%나 증가시켰으며, 손상에 반응한 세포 이동도 300%나 늘렸다.
앞의 결과들을 바탕으로 다음 단계에서는 ‘Comb1’과 ‘UN3’ 펩타이드를 함께 사용하여 말초혈관 질환이나 당뇨병 환자들에게서 나타나는 상처를 가진 실험쥐들에게 시험하였는데 여기서 ‘Comb1’과 ‘UN3’의 공동 적용은 상처 부위의 혈관 생성을 늘리는 것으로 확인됐다.
또한 이들 펩타이드의 공동 사용은 상처에 대한 세포의 반응을 현저히 촉진시켰으며, 상처 치유 양상도 정상 세포와 유사하게 만들어 졌는데 연구팀은 추가 연구를 진행하여 이들 펩타이드를 급성 및 만성 상처에 대한 새로운 치료제로 개발한다는 계획이다.
이번 연구를 주도한 터프츠 대학의 분자생리학 및 약리학 교수인 ‘아이라 허먼(Ira Herman)’ 박사는 “사람의 상처 치유를 가속화시키는 이들 펩타이드의 공동 사용으로 언젠가는 이 펩타이드들이 상처 치료제로 만들어져 시민이나 군인들에게 전달 될 수 있기를 희망한다.”고 말했다.
한편, 연구팀은 이들 펩타이드와 관련한 연구의 특허 출원과 함께 펩타이드의 공동 사용에 대한 작용 기작을 연구하고 있는데 이들이 작용하는 세포내 수용체를 찾는 연구가 본격적으로 진행 중인 것으로 알려졌다.
외계인들과의 전쟁 중에 다리가 잘려나가고 몸에 구멍이 난 병사도 ‘상처재생 치료기’ 안에서 몇 일만 지내면 상처가 다 낫고 몸이 완벽하게 재생되는 것을 볼 수 있는데 이른바 피부 재생의 메카니즘이 가속화 된 경우라 할 수 있다.
이와 관련된 '펩타이드(peptide)' 기술이 발전한다면 영화에서 처럼 조기에 상처가 치료되고 재생되는 모습을 볼 수 있는 날이 멀지 않은 것 같다.
피부재생을 가속화 시키는 펩타이드
'사이언스데일리'의 보도에 따르면 미 ‘터프츠(Tufts)’ 대학의 연구팀이 최근 ‘UN3’와 ‘Comb1’이라는 펩타이드를 생체에 함께 사용했을 때의 효과를 검증한 결과를 발표했다.
연구 결과 펩타이드를 생체와 함께 사용하지 않은 경우와 비교해 상처 부위 혈관의 성장이 조기에 활성화되고 조직의 재생도 빠르게 촉진되는 것으로 나타났다.
펩타이드는 단백질보다는 크기가 작은 아미노산 사슬로 이루어진 물질로서, 생체 내에서 신호전달을 담당하는 생체 구성 성분의 한 종류다. 생리활성 펩타이드는 피부 염증반응을 억제하고 피부세포의 재생을 촉진하여 손상을 막아주는 기능을 가지고 있어, 피부 탄력을 증진시켜 건강한 피부를 유지해 준다.
펩타이드가 각광받고 있는 이유는 막대한 치료비와 연관성이 있다. 보통, 칼로 베이거나 화상 등의 피부 손상이 발생하여 부상을 입게 되면 항생제를 발라주고 거즈를 감아서 환부를 보호해 준다. 그러나 거즈는 상처를 덮어주기만 할 뿐 손상된 세포를 회복시키는 기능은 가지고 있지 않기 때문에 치료가 더딜 수 밖에 없다.
매년, 미국인들 가운데 백만 명 정도가 외부의 영향으로 인한 상처나 몸속에서 발생하는 궤양등의 질병을 가지고 있는데, 이러한 발병으로 들어가는 치료비가 75,000만 달러 정도에 달하는 것으로 추정되고 있기 때문에 상처 부위의 치료와 재생을 가속화시키는 제품의 개발이 전세계의 여러 회사에서 진행되고 있다.
펩타이드의 공동 사용시 효과 높아
터프츠대 연구팀은 2년전부터 몇 종의 펩타이드를 동정하였는데, 동정 과정에서 이들 펩타이들이 혈관 재생을 촉진하는 효과를 가지고 있음을 확인했다. 당시 연구팀은 상처 치유에 가장 효과적인 펩타이드를 분리한 후에 ‘comb1’이라는 새로운 펩타이드를 합성하였는데 ‘Comb1’은 생체시험에서 혈관성장을 200%나 늘리는 등 혈관재생 촉진에 뛰어난 효과가 확인됐다.
2번째 상처 치유 펩타이드 후보인 ‘UN3’는 정상적으로는 혈소판이 풍부한 혈액 중에 미량 존재하는 2종의 펩타이드(UN1과 UN2)를 기본 골격으로 하여 개발하였다고 한다. UN3는 시험관 시험에서 내피세포 증식을 50%나 늘렸으며, 혈관신생도 250%나 증가시켰으며, 손상에 반응한 세포 이동도 300%나 늘렸다.
앞의 결과들을 바탕으로 다음 단계에서는 ‘Comb1’과 ‘UN3’ 펩타이드를 함께 사용하여 말초혈관 질환이나 당뇨병 환자들에게서 나타나는 상처를 가진 실험쥐들에게 시험하였는데 여기서 ‘Comb1’과 ‘UN3’의 공동 적용은 상처 부위의 혈관 생성을 늘리는 것으로 확인됐다.
또한 이들 펩타이드의 공동 사용은 상처에 대한 세포의 반응을 현저히 촉진시켰으며, 상처 치유 양상도 정상 세포와 유사하게 만들어 졌는데 연구팀은 추가 연구를 진행하여 이들 펩타이드를 급성 및 만성 상처에 대한 새로운 치료제로 개발한다는 계획이다.
이번 연구를 주도한 터프츠 대학의 분자생리학 및 약리학 교수인 ‘아이라 허먼(Ira Herman)’ 박사는 “사람의 상처 치유를 가속화시키는 이들 펩타이드의 공동 사용으로 언젠가는 이 펩타이드들이 상처 치료제로 만들어져 시민이나 군인들에게 전달 될 수 있기를 희망한다.”고 말했다.
한편, 연구팀은 이들 펩타이드와 관련한 연구의 특허 출원과 함께 펩타이드의 공동 사용에 대한 작용 기작을 연구하고 있는데 이들이 작용하는 세포내 수용체를 찾는 연구가 본격적으로 진행 중인 것으로 알려졌다.
- 김준래 객원기자
- joonrae@naver.com
- 저작권자 2012-03-08 ⓒ ScienceTimes
관련기사

뉴스레터






